티스토리 뷰
목차
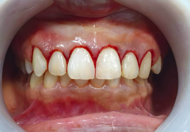
잇몸 내려앉음은 치주질환의 일종으로, 잇몸이 치아 뿌리 쪽으로 내려가 노출되는 현상을 말합니다. 이는 치아 주변의 세균과 치석 등이 쌓이면서 염증이 발생하는 치주염으로 인해 발생하며, 잇몸이 손상되고 내려앉을 수 있습니다.
이번시간에는 잇몸 내려앉는 원인과 증상, 치료방법에 대해 알아보도록 하겠습니다.

잇몸 내려앉음 원인
잇몸 내려앉음의 주요 원인은 잘못된 칫솔질이나 이갈이 등의 구강 악습관입니다. 과도한 힘으로 칫솔질을 하거나, 이갈이 등으로 인해 치아와 잇몸에 지속적인 압력이 가해지면 잇몸이 손상될 수 있습니다.
잇몸 내려앉음의 영향

잇몸 내려앉음은 치아 건강에 매우 중요한 영향을 미칩니다. 치근이 노출되면 충치나 기타 구강 질환에 더 취약해지며, 노출된 부위에서는 박테리아가 쉽게 번식할 수 있어 잇몸 염증이 악화될 수 있습니다. 심한 경우, 치아 손실로 이어질 수도 있습니다.
잇몸 내려앉음 원인
| 원인 | 설명 |
| 치주질환 | 치아 주위 조직에 생기는 병으로 치아를 지지하는 구조물(잇몸, 뼈)에 감염이 생겨 파괴되는 만성 염증성 질환 |
| 잘못된 칫솔질 | 옆으로 세게 문지르는 칫솔질은 치아와 잇몸 경계 부위를 마모시켜 잇몸퇴축을 유발 |
| 이갈이 | 자면서 이를 갈거나 악무는 습관 역시 치아와 잇몸에 무리한 힘을 가해 잇몸 퇴축을 유발 |
| 교정치료 | 치아에 부착된 교정장치로 인해 치아와 잇몸 사이에 미세한 틈이 생길 수 있음 |
| 선천적 요인 | 태어날 때부터 잇몸 두께가 얇은 경우, 혹은 가족력이 있는 경우 그렇지 않은 사람들에 비해 잇몸퇴축이 발생할 가능성이 높음 |
잇몸 내려앉음 주요증상


1. 치아 시림
잇몸이 내려가면 치아 뿌리가 노출되는데, 노출된 뿌리는 상아세관이라는 미세한 관구조로 이루어져 있어 외부 자극에 쉽게 반응합니다. 그래서 찬물이나 찬바람에 시린 증상이 나타날 수 있습니다.
2. 잇몸 출혈
부어있는 잇몸에서는 약한 자극에도 출혈이 일어날 수 있습니다. 초기에는 양치질할 때 피가 나는 정도이지만, 심한 경우에는 가만히 있어도 출혈이 있을 수 있습니다.
3. 치아가 길어 보임
짧아진 잇몸으로 인해 치아가 유독 길어 보일 수 있습니다. 더불어 블랙 트라이앵글이라고 불리는 검은 삼각형 공간이 생기기도 합니다.
4. 구취
부은 잇몸 안에는 세균이 번식하기 쉬워 구취의 원인이 될 수 있습니다. 또 치석이나 치태가 쌓여도 입 냄새가 심해질 수 있으므로 주의해야 합니다.
5. 저작기능 저하
약해진 잇몸 탓에 저작기능이 떨어질 수 있습니다. 이로 인해 음식물을 제대로 씹지 못해 소화불량 및 위장장애 등의 2차 질환까지 야기할 수 있습니다.
잇몸 내려앉음 예방방법


1. 정기적인 치과 검진
적어도 일 년에 두 번 이상 치과를 방문하여 검진과 스케일링을 받는 것이 좋습니다. 이를 통해 잇몸 질환을 조기에 발견하고 치료할 수 있으며, 잇몸 건강을 유지할 수 있습니다.
2. 올바른 칫솔질과 치실 사용
매일 꼼꼼하게 칫솔질을 하고, 치실을 사용하여 치아 사이의 음식물 찌꺼기를 제거해야 합니다. 특히, 치아와 잇몸 사이의 경계 부분을 부드럽게 닦아주는 것이 중요합니다.
3. 건강한 식습관
비타민 C와 칼슘이 풍부한 과일과 채소를 충분히 섭취하고, 단백질과 영양소가 균형 잡힌 식단을 유지하는 것이 좋습니다. 과도한 음주와 흡연은 잇몸 건강에 악영향을 미치므로 피하는 것이 좋습니다.
4. 스트레스 관리
스트레스는 잇몸 건강에 영향을 미칠 수 있으므로, 적절히 관리해야 합니다. 충분한 휴식과 수면을 취하고, 운동이나 명상 등의 방법을 활용하여 스트레스를 해소하는 것이 좋습니다.
5. 치아 교정 및 보철물 관리
치아 교정이나 보철물을 착용하고 있는 경우, 주기적으로 치과를 방문하여 점검을 받아야 합니다. 부적절한 관리는 잇몸에 자극을 줄 수 있어 주의가 필요합니다.
마무리
장기적인 관리와 꾸준한 치료가 필요한 잇몸 내려앉음은 정기적인 치과 검진, 스케일링, 올바른 칫솔질과 치실 사용이 중요합니다. 잇몸 내려앉음이 심하면 추가 치료나 수술이 필요할 수 있습니다.
구강 건강은 전신 건강에 영향을 미치며, 잇몸 질환과 치아 상실은 다른 질병을 야기할 수 있습니다. 따라서, 구강 건강 문제를 예방하고 건강한 삶을 유지하기 위해 꾸준한 노력이 필요합니다.
평소 올바른 양치질 습관을 기르고 정기적인 검진을 통해 구강건강을 지켜주시길 바랍니다.
함께보면 좋은글
임플란트 잇몸뼈 손상, 수술비용은 얼마?
임플란트는 상실된 치아를 대체하는 가장 효과적인 방법 중 하나입니다. 그러나 잇몸뼈의 조건이 좋지 않은 경우 임플란트를 심는 것이 어려울 수 있습니다. 이 경우 뼈이식을 통해 잇몸뼈를 재
essencekoko.com
사랑니 발치후 구멍난 잇몸 음식물 제거방법
사랑니 발치 후 구멍에 끼인 음식물을 제거하는 방법에 대해 알아보려 합니다. 몇 해 전 사랑니를 발치한 적이 있었는데, 발치 후 생긴 구멍에 음식물이 자주 껴서 불편했습니다. 식사를 할 때마
a.essencekoko.com
치아 재교정 주의사항 가격 부작용
치아 재교정 방법과 비용, 가격에 대해 알려드리겠습니다. 치아 교정을 받은 후에도 재교정을 해야 할 경우가 있습니다. 이에 대한 주의사항을 확인하시고, 가격을 비교하여 참고해주세요. 치아
a.essencekoko.com
#잇몸내려앉음 #잇몸내려앉음치료 #잇몸내려앉음레진 #잇몸내려앉음치약 #잇몸내려앉음영양제 #잇몸내려앉음약 #교정 잇몸내려앉음 #앞니잇몸내려앉음 #임플란트잇몸내려앉음 #잇몸부었을때 #잇몸 #잇몸부음 #잇몸퇴축치료 #잇몸내려감 #잇몸내려앉음예방치료법 #잇몸내려앉음치료비용 #잇몸내려앉음원인 #잇몸내려앉음잇몸이식수술비용 #잇몸내려앉음해결방법